Project: Radiomics for the management of small renal masses

Status
Completed (2022-2024)
Type
Master’s
Team
- Teodora Boblea Podasca1 (2022-today)
- Dr. Patrick Richard1 (2022-today)
- Martin Vallières2 (2022-today)
1 Surgery department, Urology service, Université de Sherbrooke, Sherbrooke (QC), Canada
2 Computer science department, Université de Sherbrooke, Sherbrooke (QC), Canada
Description
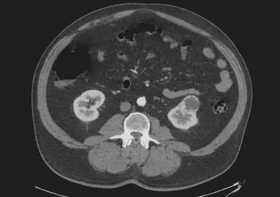
Despite advances in medical imaging over the past few decades, it cannot accurately determine whether a small (<4 cm) renal mass is benign or malignant. This makes it difficult for urologists to select patients who would benefit from a conservative approach (active surveillance) rather than invasive treatment. Currently, the treatments available are: (1) surgery and (2) thermoablation. Despite their effectiveness, these are invasive treatments that could be avoided in some patients.
The objective of this project is to establish a model that will reliably predict whether a small renal mass is benign or malignant. In order to achieve this goal, we will combine radiomics (on CT scans) and some clinical data such as sex and age.
Ultimately, we hope that this project will help physicians provide more appropriate treatment for each patient and allow for a better use of resources.